『ワク◯ンシェディング』の症状とは?
ワクチンシェディグで、体調不良の方が多く見られるようになりましたが、
実は、ワク◯ン打たれた方からででいる、スパイクタンパクを解毒するときに、その人の体は多くの栄養素を利用しています。
メタトロンで見ると、食べているのに足りないと出る方は、
・本当に食べてる量が少ないか
・吸収されていないか
・ワクチンシェディグの影響
です。
他の臓器を見る限り、シェディグの場合の人たちが多いと感じています。
特にタンパク質が体内にない人は、注意が必要です
あるサプリメントが『ワクチンシェディグ』に良いと言われているのは、必須アミノ酸が9種入っているためです。
そのため、常食しておいた方が良いものとしては、アミノ酸スコアが高いもの…
ゆで卵や、温泉卵などを是非。(アミノ酸スコア100)
1日、3個から5個程度。
お肉お魚を食べない時は、多めに食べると良いです。
(5個位)

または、コラーゲンを❣️
朝、晩、寝る前に…。
特に、シェディグの影響で体調の変化があるかたは、是非食べてみてください。
ワクチン打った方から出るSタンパクにより、
いろいろいろな症状が、身近な人に出ています。
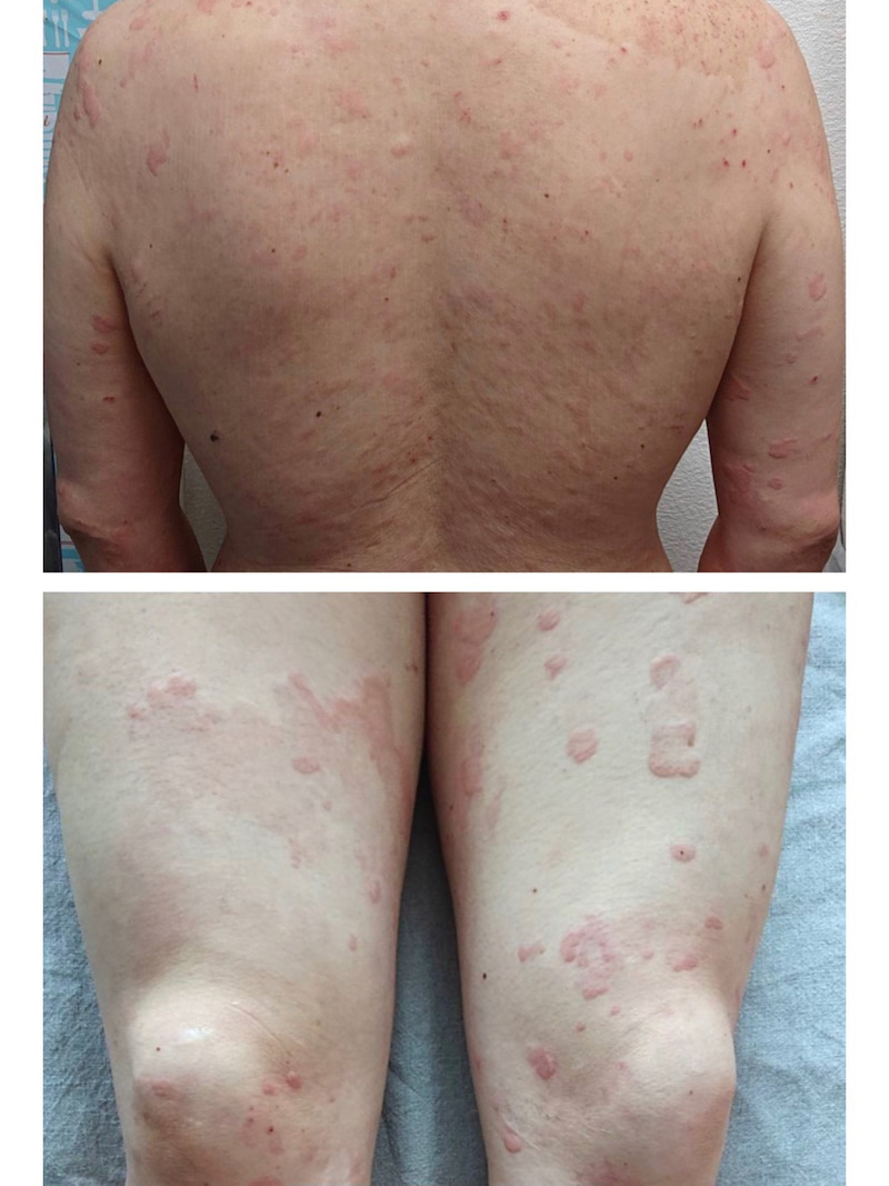
特に多いのが、接種者といた時の『喉の痛み』や『頭痛』『蕁麻疹』や『帯状疱』
特にカラダに触れる『セラピスト』の方は、ワクチン接種者に施術したあと、酷いくなるかたも多いですね。

そして、子供たちは、下痢が圧倒的に多く、さらに紫色の発疹も報告されています。
飼っている動物も、吐血や血便がでたりしています。
2021年のワクチン製薬会社の 特許内容とは?
目的とその注意喚起が出ています
本発明の核酸(RNA)は、エクソソームにおいて、または1つ以上の体液に依頼する場合に定量され得る…
つまりこれは、RNAは体液で分かると言うこと
体液としてはどんなものがあるのかとして例が挙げられています
- 末梢血
- 腹水
- 唾液
- 汗
- 血漿
- 尿
- 耳垢
- 涙
- 痰
- 母乳
- 髪の毛
- 月経
- 膿
- 皮脂
- 便などです
ここからRNAが出ます。
そしてエクソソームは
肺(呼吸)、心臓、膵臓、胃、腸、膀胱、腎臓、卵巣、精巣、皮膚、大腸、乳房、脳、食道、肝臓、胎盤から出る(RNAが出ると言うことです)
つまり他人に移すということになります。
(これがS蛋白毒性ナノ粒子)

エクソソームを介して細胞外へ放出されているmRNA

※自然療法士ルイさん提供
また、最近のワク◯ン後のある症状として、
耳が聞こえなくなった
40度の高熱
(本来は半身のみですが体の全身に出る場合が多い)
60代でも若い脳血管出血
急性蕁麻疹が1ヵ月以上
嘔吐が止まらない
肝障害
横紋筋融解症(筋肉が溶ける)
眼球の組織が剥がれ出して失明
動脈瘤破裂
怒りっぽくなる、怒鳴るようになった
(老人、プリオン)
人格崩壊
ボケが急に
肺が石灰化
目に激痛や眼底出血
心筋炎
これらを症状として訴える方々がいます。
もともと何も無く元気な方は動揺される事でしょう。
対策
糖質制限をしない
(良い蜂蜜を食べて、糖の代謝を回しておく)
ワクチン打ったあとは、水をたくさん飲む
タンパク質不足に注意
接種後の運動は危険性大
Sタンパク予防波動水を飲んでおく
(打ってない人)
Sタンパク予防水とは
ワクチン接種者からでるスパイクタンパクから
カラダ守るための波動水

どんな人に良い?
結婚、出産を考えている女性
多数の方が出入りする場所での勤務者
社内で接種者が増えている方
電車・バスによく乗る方
家族がワクチン接種された方
ジムなどへ行かれる方
温泉によく行く方
プールで泳ぐ方
飛行機での移動が多い方
観光地で働いている方
セラピスト
美容師・理容師
密室で1時間以上接種者といる方
など

